DOCTEUR DUFAU-PERRY
Cabinet d'orthodontie du docteur Sarah DUFAU-PERRY Paris 6 -
Traitements orthodontiques de l'enfant et de l'adulte
DOCTEUR DUFAU-PERRY
Cabinet d'orthodontie du docteur Sarah DUFAU-PERRY Paris 6 -
Traitements orthodontiques de l'enfant et de l'adulte

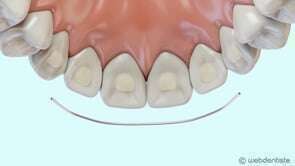
Fil de contention


video-play-icon

Articles similaires

Création par Webdentiste

Connexion