DOCTEUR DUFAU-PERRY
Cabinet d'orthodontie du docteur Sarah DUFAU-PERRY Paris 6 -
Traitements orthodontiques de l'enfant et de l'adulte
DOCTEUR DUFAU-PERRY
Cabinet d'orthodontie du docteur Sarah DUFAU-PERRY Paris 6 -
Traitements orthodontiques de l'enfant et de l'adulte

La réussite d'un traitement

Traitement orthodontique : les règles du succès

Traitement orthodontique : les règles du succès

Nettoyage des brackets avec brossette interdentaire

Nettoyage des brackets avec brossette interdentaire

L'hygiène en orthodontie

L'hygiène en orthodontie

Contention de Hawley

Contention de Hawley

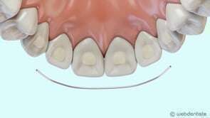
Fil de contention

Fil de contention

La période de contention orthodontique

La période de contention orthodontique

La contention permet de stabiliser les résultats de votre traitement et de conserver un bel alignement des dents.

Affichage des articles 1-6 sur 7

Création par Webdentiste

Connexion